Benefits of LANAP in Columbia, MD
Unlocking the Benefits of LANAP: A Breakthrough in Periodontal Care
Smile Savers Dentistry is committed to revolutionizing the dental experience by providing cutting-edge treatment and personalized care. Our practice, led by Dr. Anuja Patel, as our head dentist, is proud to provide LANAP, a minimally invasive, highly effective treatment for gum disease. Discover the benefits of LANAP, and how it can improve your oral health.
Why Choose Smile Savers for Gum Disease Treatment with LANAP?
If you’re experiencing symptoms of gum disease, schedule a consultation at Smile Savers Dentistry for LANAP laser gum surgery! Our team will take care of your gums and teeth so you can be proud of your beautiful and healthy smile again.
Call us at
(410) 730-6460 to schedule your consultation at our Columbia, MD, dental office today!
Invisalign
and LANAP Gum TreatmentUsed to Align Teeth and Restore Healthy Gum Tissue
Who’s a Good Candidate for LANAP?
Identifying the Ideal Candidates for Laser-Assisted Gum Disease Treatment
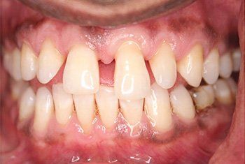
LANAP technology is a highly effective treatment for patients suffering from gum disease, but it’s not suitable for everyone. In this article, we’ll explore the key factors that determine whether a patient is a good candidate for LANAP, including the severity of their gum disease, overall health, and specific dental needs. Understanding these factors can help patients and dental professionals make informed decisions about treatment options.
Understanding LANAP - A Modern Approach to Gum Disease Therapy
LANAP represents an important advancement in periodontal treatment. LANAP uses state-of-the-art laser technology, unlike traditional gum surgery that involves incisions or sutures. It targets and eliminates bacteria and diseased tissues while preserving healthy tissue. This minimally invasive treatment offers many advantages to patients with gum disease.
FREE LANAP Evaluation!
Includes a full gum evaluation & panoramic x-ray
Book your FREE gum evaluation today and discover how LANAP can help you achieve lasting gum health. Don’t miss out – take the first step towards a confident, healthy smile!
Smile Savers Dentistry offers LANAP
At Smile Savers Dentistry, we understand that gum disease is a difficult and stressful experience. We are committed to offering our patients a compassionate and supportive environment in which their oral health issues will be addressed with the highest level of care. Smile Savers Dentistry offers LANAP treatments. You'll not only receive exceptional dental care, but you'll also be joining a group of patients who are respected and valued at every stage of the treatment process.
We are committed to excellence in all aspects of our practice, including clinical expertise. Our friendly, knowledgeable staff will make your experience as pleasant and comfortable as possible from the moment you enter our practice. We listen to you, answer all your questions, and make sure that you are informed and empowered during your LANAP treatment.
Dr. Anuja Patel and our team are dedicated to providing our patients with the best possible care. We constantly seek out new techniques and advancements to ensure that we provide the highest quality of service.
LANAP is a minimally invasive, highly effective treatment for gum disease. Our patients can enjoy better oral health and a higher quality of life. Smile Savers Dentistry is not only about changing smiles but also lives.
LANAP Frequently Asked Questions
Learn More About LANAP: Benefits, Myths, and Insights
Book Your Consultation for LANAP Today!
LANAP could be the answer you've been searching for if you are struggling with gum disease and want a minimally invasive alternative to traditional surgery. To learn more about the LANAP treatment and to explore your options, schedule a consultation at Smile Savers Dental with Dr. Patel. Contact us now to begin your journey toward optimal periodontal care with LANAP.













